Calm, Modern Dentistry
Comprehensive dental care with clarity and comfort at every step.
Preventive, restorative, cosmetic, and emergency care delivered with clear guidance, thoughtful technology, and a serene environment tailored to you.
Our Services
Comprehensive care for every stage of your smile.
From prevention to advanced treatment, we guide you with clear options and calm, attentive care.
Preventive & Diagnostic
Cleanings, exams, X-rays, early detection, and protective sealants.
Restorative & Surgical
Fillings, crowns and bridges, root canals, and extractions.
Cosmetic & Orthodontic
Veneers and clear aligner treatment for balanced, confident smiles.
Gum & Emergency Care
Gum therapy, breath care, and responsive emergency treatment.
Why Choose Us
Thoughtful care, modern tools, calm surroundings.
We pair advanced technology with attentive communication, so you always know your options and feel comfortable choosing the right path.

Meet the Doctor
Dr. Nasim Doroudgar
Dr. Nasim Doroudgar is a highly accomplished general and cosmetic dentist dedicated to delivering exceptional, comprehensive dental care with an artistic and precise approach. A graduate of the Dental College of Georgia, where she earned Honors in Endodontics and was a proud recipient of the prestigious Golden Molar Award, Dr. Doroudgar combines clinical excellence with a passion for smile design, restorative dentistry, and long-term oral health.
Meet our teamA Family Practice
Where family values meet dental excellence.
At Lux Dentistry, we believe outstanding dentistry is where science, aesthetics, and compassion meet—whether creating a stunning smile transformation, relieving dental pain, or restoring function and confidence. Outside the office, Dr. Doroudgar enjoys traveling, exploring new cultures, and spending quality time with her husband and young son, which inspires her warm, personalized approach to caring for every patient.
We treat every patient like family—because that's exactly what we are.

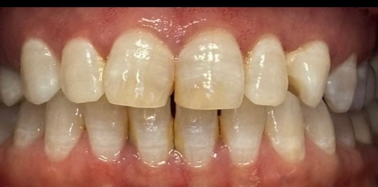
Results
Before & After
Real patient results shown with permission. Treatments planned for comfort, clarity, and long-term health.










Insurance & Payments
Clear, flexible payment options.
We work with many insurance plans and outline costs up front. Flexible arrangements are available for treatments not covered by insurance.
Testimonials
What patients say
Dental emergency?
Same-day emergency appointments are available. Call now and we will guide you to the next step.
Call NowVisit Us
Schedule your visit
1155 Bluegrass Ct
Alpharetta, GA 30004
Phone: (678) 404-5005
Mon: 08:00am – 04:00pm
Tue: 08:00am – 04:00pm
Wed: 08:00am – 04:00pm
Thu: 08:00am – 04:00pm
Fri: Closed
Sat: Open by Appointment
Sun: Closed
